April 19, 2026
Lungenkrebs Neue Therapieformen machen Hoffnung

Lungenkrebs Neue Therapieformen machen Hoffnung

Aber nicht alle Erkrankte müssen alle Wegstrecken gehen – viele können heutzutage „unterwegs” geheilt werden oder haben zumindest eine lange erkrankungsfreie und behandlungsfreie Zeit vor sich. Wie man am besten mit der Diagnose Lungenkrebs umgehen kann und worauf man achten sollte erklärt Katja Schiffke (Psychoonkologin) im Video.. Bleibt ein Lungenkrebs unbehandelt, leben Patienten in der Regel höchstens zwei Jahre. Die Behandlung kann heilend sein und der Patient bis ins hohe Alter leben. Manchmal schlägt die Therapie aber nicht an, und der Krebs führt in wenigen Monaten zum Tod. Dazwischen ist alles möglich.


Lungenkrebs Neue Therapieformen machen Hoffnung

Pin auf Kuriositäten


Lungenkrebs (Bronchialkarzinom) Symptome, Ursachen & Verbreitung

Lungenkrebs (Bronchialkarzinom) Symptome, Ursachen & Verbreitung


UniversitätsKlinikum Heidelberg Pulmonale Radiologie

UniversitätsKlinikum Heidelberg Pulmonale Radiologie


Wie lange kann man ohne Behandlung

Wie lange kann man ohne Behandlung mit Lungenkrebs leben? Erfahre hier die Antwort!


Bestrahlung Lungenkrebs Stadium 4 Captions Trendy

Bestrahlung Lungenkrebs Stadium 4 Captions Trendy


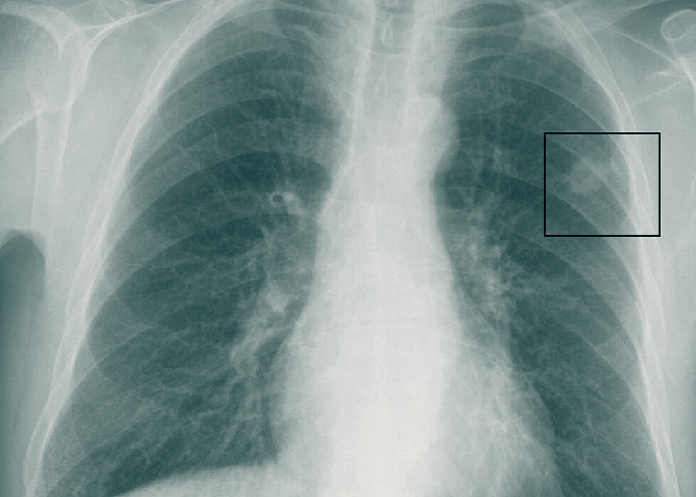
Was zeigt Röntgenbild? Kompetente Interpretation des

Was zeigt Röntgenbild? Kompetente Interpretation des Röntgenbildes der Lunge


Lungenkrebs Symptome erkennen & behandeln Herold.at

Lungenkrebs Symptome erkennen & behandeln Herold.at


Für Lungenkrebs muss man sich nicht

Für Lungenkrebs muss man sich nicht schämen I Das K Wort


Wann ist Tag des Lungenkrebs? Tag

Wann ist Tag des Lungenkrebs? Tag des Lungenkrebs ist das nächste mal am Montag, dem 1. August


Hamburger Allianz gegen Lungenkrebs Sozialverband VdK

Hamburger Allianz gegen Lungenkrebs Sozialverband VdK Hamburg


Lungenkrebs, Endstadium, Symptome, Lungenentzündung, Lungenembolie

Lungenkrebs, Endstadium, Symptome, Lungenentzündung, Lungenembolie


Lungenkrebs verstehen Symptome, Diagnose, Therapie

Lungenkrebs verstehen Symptome, Diagnose, Therapie


Lungenkrebs Durchbruch bei der Behandlung fortgeschrittener

Lungenkrebs Durchbruch bei der Behandlung fortgeschrittener Stadien Heilpraxis


Zehn mögliche Anzeichen für Lungenkrebs 365

Zehn mögliche Anzeichen für Lungenkrebs 365 Belle Gesundheit für alle YouTube


Hilfe bei Lungenkrebs Behandeln nach

Hilfe bei Lungenkrebs Behandeln nach “SchlüsselSchlossPrinzip” tagesschau.de


Lungenkrebs behandeln Novartis Klinische Forschung

Lungenkrebs behandeln Novartis Klinische Forschung


Neues Konzept für Strahlentherapie bei Lungenkrebs

Neues Konzept für Strahlentherapie bei Lungenkrebs MedMix


Biomarker GenSignal zeigt hohes Lungenkrebsrisiko an

Biomarker GenSignal zeigt hohes Lungenkrebsrisiko an WELT


Feinstaub und Lungenkrebs Das Körnchen zum

Feinstaub und Lungenkrebs Das Körnchen zum Krebs ZEIT ONLINE


Lungenkrebs Mit Bluttest Rechtzeitig Erkennen Naturheilkunde

Lungenkrebs Mit Bluttest Rechtzeitig Erkennen Naturheilkunde My XXX Hot Girl

Wichtig zu wissen: Bezüglich Überlebensrate gilt dasselbe wie beim kleinzelligen Lungenkrebs: Die Lebenserwartung und Heilungschancen werden reduziert, sobald sich der Tumor ausbreitet.Ist er aber kleiner als drei Zentimeter und die Lymphknoten sind nicht von Metastasen befallen, sind 5 Jahre nach der Diagnose noch 65 % der Patienten am Leben.. Patient*innen mit Lungenkrebs können oftmals selbst aktiv werden, um gegebenenfalls den Verlauf und das Leben mit der Erkrankung positiv zu beeinflussen. Möglichkeiten hierfür sind: Selbsthilfegruppen: Der Austausch mit anderen Betroffenen kann dazu beitragen, mit der Erkrankung besser umgehen zu können.