Los vasos sanguíneos forman una red de conductos que transportan la sangre desde el corazón a los tejidos y desde los tejidos al corazón. Las arterias son vasos que distribuyen la sangre del corazón a los tejidos. Las arterias se ramifican y, progresivamente, en cada ramificación, disminuyen su calibre y se forman las arteriolas.. IRRIGACIÓN ARTERIAL Y DRENAJE VENOSO DEL CORAZÓN HEART LABORATORY.COM Página 6 de 17 Rama marginal derecha: se dirige hacia el vértice del corazón en un trayecto horizontal; y Ramas aurículo-ventriculares: irrigan el sector inferior del ventrículo derecho.
Vasodilatación y vasoconstricción
Vasos Sanguineos
Vasodilatación y vasoconstricción
YetzaliZavalaBlogDeFisiologia2016Gpo7 VASOS SANGUÍNEOS
Diferencias entre los injertos epidérmicos y dermoepidérmicos en sello
Vasos sanguíneos(2)
Los vasos sanguíneos recorren 100.000 kilómetros en nuestro organismo
Irrigación Cerebral Anatomía médica, Anatomía, Anatomia del cerebro
Biología Aplicada 4ºA 3 2014 PRÁCTICA DE RIÑÓN DE CERDO Y CORDERO.
Circulatorio, vasos sanguíneos
🥇 VASOS SANGUÍNEOS DE LA PARED TORÁCICA, (Arterias y Venas), Fácil
Vasos sanguíneos Corazón Corazón
Irrigación arterial de la duramadre Anatomia y fisiologia humana
IRRIGACION MIEMBRO INFERIOR PDF
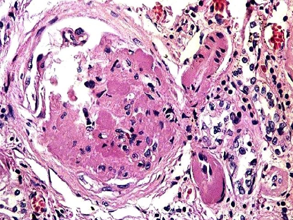
Introducción a los trastornos vasculares renales Trastornos renales y
Flujo sanguíneo cerebral y actividad metabólica cerebral.Una mirada
¿Cuántos tipos de vasos sanguíneos existen? Curiosoando
Resumen Irrigación Miembro Superior Anatomía Medicina UBA
Irrigación del Aparato Sexual Femenino Interno Genitales internos
Si el aporte sanguíneo a la parte anterior de la médula espinal está muy reducido, las piernas se entumecen y paralizan. Sin embargo, las sensaciones transmitidas a través de la parte posterior de la médula permanecen intactas, incluyendo el tacto, la capacidad de sentir vibraciones y la capacidad de sentir dónde están los miembros sin mirarlos (sentido de la posición), porque la parte.. Las enfermedades que se pueden considerar malformaciones, es decir, alteraciones en el desarrollo insuficiente o excesivo de vasos sanguíneos o linfáticos se manifiestan como: Ausencia o disminución de tamaño de los vasos (atresia, aplasia, hipoplasia o estenosis). Aumento en el número o tamaño de los vasos (malformaciones arteriovenosas.