April 19, 2026
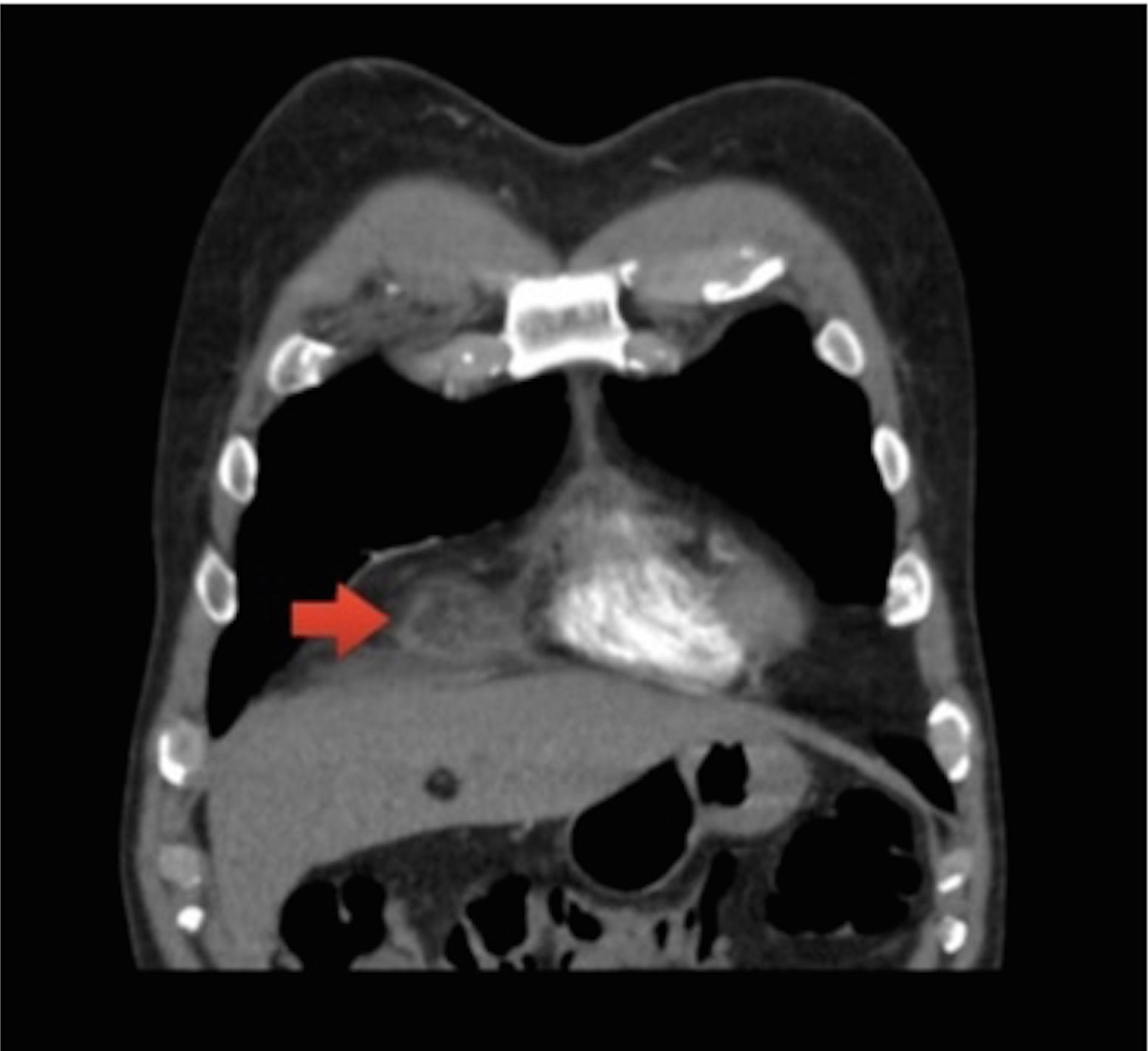
Necrose da Gordura Epipericárdica. Um Importante Diagnóstico Diferencial na Dor Torácica Sanar

Necrose da Gordura Epipericárdica. Um Importante Diagnóstico Diferencial na Dor Torácica Sanar

Apoptose, ou morte celular programada, é um componente normal do desenvolvimento e da saúde dos organismos multicelulares. A morte celular programada é um processo que culmina na parada da atividade biológica, diferente de quiescência ou dormecência, na qual há um decréscimo em várias atividades celulares. O termo morte celular.. Inicialmente a lesão se manifesta por meio de alterações funcionais e morfológicas reversíveis. Conforme ocorre a progressão do dano, esse processo pode culminar em alterações irreversíveis e, portanto, morte celular. Existem, ainda, dois tipos de morte celular, a apoptose e a necrose, sendo esta sempre um processo patológico. NECROSE


Necrose da Gordura Epipericárdica. Um Importante Diagnóstico Diferencial na Dor Torácica Sanar

Resumo Sobre Apoptose E Necrose O QUE É APOPTOSE? A apoptose é definida como um processo Studocu


Pacientes perdem membros por demora em

Pacientes perdem membros por demora em exames, denuncia Luiz Castro Portal do Marcos Santos


MAPA RESUMO NECROSE BÁSICO Patologia I

MAPA RESUMO NECROSE BÁSICO Patologia I


Como parar um processo de necrose?

Como parar um processo de necrose? YouTube


Necrose caseosa o que é?

Necrose caseosa o que é?


MAPA MENTAL NECROSE Patologia I

MAPA MENTAL NECROSE Patologia I


Necrose da Gordura Epipericárdica. Um Importante

Necrose da Gordura Epipericárdica. Um Importante Diagnóstico Diferencial na Dor Torácica Sanar


Linfonodo com necrose caseosa Patologia Geral

Linfonodo com necrose caseosa Patologia Geral YouTube


A Necrose Experiências de um Técnico

A Necrose Experiências de um Técnico de Enfermagem Tecnico em enfermagem, Enfermagem


Qual Das Alternativas Descreve O Processo

Qual Das Alternativas Descreve O Processo De Necrose Por Coagulação EDULEARN


Diferença entre apoptose e necrose Patologia

Diferença entre apoptose e necrose Patologia I


Necrose Aula 2 Necrose A necrose

Necrose Aula 2 Necrose A necrose é a morte de uma célula ou a parte de um tecido em um


Necrose e Apoptose entenda a diferença

Necrose e Apoptose entenda a diferença entre eles Blog do Portal Educação


Necrose e apoptose (4/6) Patologia Geral

Necrose e apoptose (4/6) Patologia Geral YouTube


Diferença entre apoptose e necrose Biologia

Diferença entre apoptose e necrose Biologia Celular 2023


A Necrose Experiências de um Técnico

A Necrose Experiências de um Técnico de Enfermagem Tecnico em enfermagem, Enfermagem


Necrose gordurosa da mama sintomas, definição

Necrose gordurosa da mama sintomas, definição e muito mais Respostas Sempre Atualizadas


Necrose Dr. Daniel Daniachi

Necrose Dr. Daniel Daniachi


A necrose corresponde a um processo

A necrose corresponde a um processo resultante da autólise, uma área específica


Lesões irreversíveis NECROSE (PARTE I) YouTube

Lesões irreversíveis NECROSE (PARTE I) YouTube

O diagnóstico de necrose envolve uma abordagem multidisciplinar, incorporando diversos métodos para identificar com precisão a presença e a extensão da morte celular. Os profissionais utilizam uma combinação de exames clínicos, exames de imagem e, em alguns casos, biópsias para determinar a natureza e a causa da necrose em um paciente.. Necrose (do grego νεκρός, “morto”, νέκρωσις, “morte, processo que leva à morte”) é o estado de morte de um tecido ou parte dele em um organismo vivo. A necrose é uma morte de um grupo de células, ocorrendo a perda da permeabilidade, possui resposta inflamatória, células ficam tumeficadas. A necrose é sempre um processo.